世界骨质疏松日 | 相控阵CT究竟能看多清楚?
2025年10月20日
10月20日是世界骨质疏松日。2025年的主题再次聚焦骨骼健康这一“沉默的杀手”。全球每3秒发生1例骨质疏松性骨折1。我国65岁以上老年人口已逾2亿,占全球老年人口总量的五分之一以上,成为世界上老年人口规模最大的国家2-3。
骨质疏松症作为增龄相关的骨骼退行性疾病,以骨密度降低和骨微结构退化为主要特征,在老年人群中呈现患病率高、临床漏诊率高、死亡率高、规范治疗率低的"三高一低"流行病学特征4。
苏州大学附属第一医院联合纳米维景的最新研究表明5,相控阵CT凭借革命性的超高分辨率,通过量化锥体骨微结构退变区域特征,打破传统骨密度检测局限,可有效评估老年骨质疏松程度,并通过分析局部区域骨微结构预警不同形态的骨质疏松性椎体压缩骨折,推动我国骨质疏松防治策略从"骨折后治疗"向"骨折前预防"转变。
骨质疏松的隐匿性危害在于其"静默破坏"过程——骨小梁逐渐变细、断裂,骨骼内部结构变得酥脆,但传统检测手段常因分辨率不足难以清晰捕捉这些细微变化。
苏州大学附属第一医院与纳米维景的联合研究带来突破:相控阵CT凭借"光学旋转"技术,解决了传统CT依赖机械旋转导致的拖尾效应,将空间分辨率大幅提升,能够清晰地观测骨微结构,可精准识别骨质疏松早期的骨小梁改变,显著提高骨折风险预警准确性。
研究团队对100例受试者(老年组33例/中青年组67例)腰椎进行扫描,多项骨微结构指标变化显示:老年骨质疏松患者的骨小梁体积骨密度较中青年组显著下降,骨小梁连接密度有所减少。这种传统CT因分辨率不足难以清晰辨别的区域特异性差异,现可通过相控阵CT清晰呈现。
基于骨微结构形态及相关数据,医生还可动态监测抗骨质疏松药物疗效,实现精准干预。

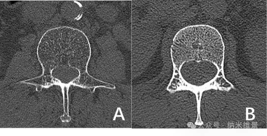
A.老年骨质疏松患者相控阵CT图 B.骨量正常的健康志愿者相控阵CT图

C. 老年骨质疏松患者螺旋CT图 D. 骨量正常的健康志愿者螺旋CT图
骨质疏松防治的关键在于"关口前移"。通过前沿影像学技术对骨骼微观结构的精准评估,健康管理策略可以从传统的"骨折后治疗"模式,前瞻性地推进到"风险预警"阶段。
科技向前一步,风险早察一步。在医生的专业关爱与创新影像技术的双重加持下,让骨骼的微小变化清晰可见,通过更精准的评估与更早期的干预,将风险拦截在骨折发生之前,用心守护每一位老年人的骨骼健康。
[1] 全球每3秒就发生一次骨折,你的骨骼还好吗?
[2]《中国老年骨质疏松症诊疗指南(2023)》工作组,中国老年学和老年医学学会骨质疏松分会,中国医疗保健国际交流促进会骨质疏松病学分会,等.中国老年骨质疏松症诊疗指南(2023)[J].中华骨与关节外科杂志,2023,16(10):865-885.
[3] 杨惠林.健康老龄化十年,聚焦骨质疏松症[J].中华骨与关节外科杂志,2022,15(09):652-655.
[4] 韩扬眉.苏州大学附属第一医院骨科主任杨惠林:重建人体“摩天大楼”[N].中国科学报,2023-08-24(004).
[5] 祖海越,肖荷婷,谢计乐,等.相控阵CT用于老年骨质疏松症骨质量评价的初步研究[J/OL].中华骨与关节外科杂志,1-15[2025-10-19].https://link.cnki.net/urlid/10.1316.R.20250929.1626.002.
